深まる謎

gettyimages.com
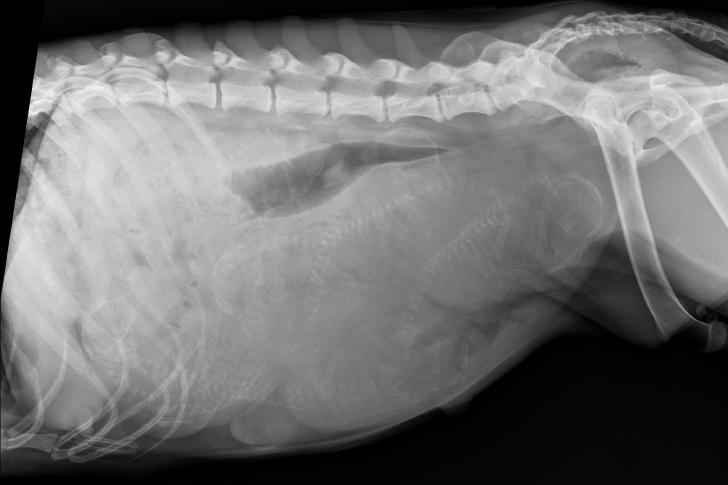
グリーンの手がローラを診察台に落ち着かせると、その熟練した視線は即座に腹部の顕著な膨らみに釘付けになった。画像診断では異例の多胎を示唆していたが、実際に目にしたことで彼は躊躇した。十匹?十一匹?それ以上かもしれない。標準を超えた数だが、可能性の範囲内ではあった。
グレースの表情——信じられないというように大きく見開かれた瞳——は何の説明も必要としなかった。彼女は控えめな数の子犬を想像していたのだ。はるかに大規模な準備を必要とするような数は想定外だった。グリーンは落ち着いた口調で、そのような多胎妊娠に必要なことを説明した:より密な監視、慎重なペース配分、そして忍耐。周囲ではスタッフが慣れた沈黙の中で動き、清潔なリネン、保温器具、医療用品を準備していた。場内の空気は変わり、全員が長期化し不確実な分娩に備え始めた。